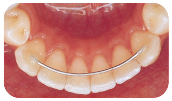
A grande maioria dos tratamentos de ortodônticos, tratamentos com aparelhos dentários para corrigir a posição dos dentes, precisa de um tempo de contenção após os dentes chegarem à suas respectivas posições finais desejadas. Veja uma técnica simples para instalação de contenção nos dentes inferiores.

contencao-fixa

Os dentes precisam de tempo para ganhar estabilidade e para não haver recidiva da má posição dentária. Em muitos casos a contenção fixa se mostra como uma solução prática tanto para o dentista quanto para o paciente. O único problema: é preciso deixar espaços para os pacientes limparem por baixo desta contenção. Se isso não acontecer, a gengiva vai ficar sempre inflamada nesta região, trazendo problema aos pacientes. Veja o vídeo que mostra como é simples fixar uma contenção desse tipo:

[youtube]F557mh-JkM4[/youtube]

Bacana e simples. Compartilhe com seus amigos dentistas !

Créditos para o Dr. Adam Goodman.

Um Abraço,

Equipe Dicas Odonto